2016-2022 All Rights Reserved.平安財經網.復制必究 聯系QQ 備案號:
本站除標明“本站原創”外所有信息均轉載自互聯網 版權歸原作者所有。
郵箱:toplearningteam#gmail.com (請將#換成@)
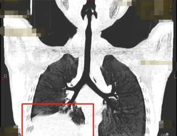
6歲小男孩發燒11天時間都不退,經過CT檢查發現孩子肺部已經有了很嚴重的感染,已經要痰栓阻塞了,就像一根根樹枝一樣,不處理對于肺部功能會有較為嚴重的影響。之所以有痰栓阻塞,是因為有塑形性支氣管炎的患兒,在氣道炎癥的分泌物過于粘稠,長時間沒有辦法將這些分泌物咳出,就會成為膠凍狀的痰栓在支氣管內部堵塞。

順利將碳酸全部取出后,小男孩在呼吸內科接受了抗感染的治療以及激素的治療,肺部的感染狀態,也在逐漸好轉。因為治療不夠及時的原因,這一次感染給身體也留下了無法避免的創傷,肺炎支原體肺炎所引起痰栓這種狀況是有的,但并不是高發的情況。如果一直高燒都不退的話,一直咳嗽且不斷的發熱在肺部,影像提示有著較為厲害的病變,不及時發現治療的話是很容易有痰栓形成的,具體根據孩子的病情作出判斷。

近年來肺炎支原體感染成為了兒童呼吸道疾病常見的一種病癥,肺炎支原體感染的癥狀化當中不少也進一步發展成為了肺炎,這是非常需要引起重視的,醫生表示感染肺炎支原體肺炎較為嚴重時,會存留肺不張等一系列后遺癥。

醫生表示,如果近期加重,孩子有持續發熱咳嗽較為劇烈的情況,這種千萬不能掉以輕心,一定要前往醫院,及時明確孩子是否患上了肺炎支原體感染,以免時間拖得太久,錯過了最佳治療的時期,在以后治療的過程中,給孩子的身體留下無法根除的后遺癥,家長對此一定要引起重視。
2016-2022 All Rights Reserved.平安財經網.復制必究 聯系QQ 備案號:
本站除標明“本站原創”外所有信息均轉載自互聯網 版權歸原作者所有。
郵箱:toplearningteam#gmail.com (請將#換成@)