2016-2022 All Rights Reserved.平安財經網.復制必究 聯系QQ 備案號:
本站除標明“本站原創”外所有信息均轉載自互聯網 版權歸原作者所有。
郵箱:toplearningteam#gmail.com (請將#換成@)
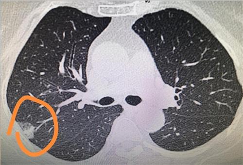
有位病人患有肺結節,當時并沒有繼續復查,過了一年復查后發現小細胞肺癌。這一個病例中病人65歲,有20年左右吸煙的歷史, 目前已經戒煙超過20年了 在2020年7月時進行體檢,發現有肺結節,后續通過增強CT等一系列檢查考慮良性結節。2021年11月份再次復查后,發現有結節增大,于是做了手術,在手術當中發現有小細胞肺癌,縱隔淋巴結考慮轉移,醫生診斷是小細胞肺癌廣泛期。

對于這樣的病例聽起來極為心痛,50歲以上的人群如果發現自身患有肺結節,特別是肺結節是大于1cm的,呈實體性質通常隨訪是三個月左右,除非高度懷疑就是良性的結節可以延長到一年時間,不然絕對不可以一年再隨訪。
小細胞肺癌是極為兇險的肺癌,預后效果也很差,根據現在獲得的數據,如果這個結節是小細胞肺癌,倍增時間1~2個月時間,生長速度是極快的,非常容易有轉移。

醫生決定到底是復查還是手術,亦或者不用復查,這需要具體參考結節的大小、性質、形態、病人本身的年齡、身體情況結節動態的改變、吸煙等等。通過CT來判斷結節性質,這也并不是極為準確,拿捏不準的情況下可以縮短隨訪的時間,隨訪時間通常不要超過一年,更加不能完全不理會。

小細胞肺癌當前治療的方法主要要看腫瘤分期,分期取決于腫瘤大小淋巴結的情況,對于小細胞肺癌來說,目前有局限性和廣泛期,有遠處轉移的情況下就屬于廣泛期。廣泛階段可推薦免疫治療聯合化療,局限期要具體分析,病人情況許可下是可以手術。
2016-2022 All Rights Reserved.平安財經網.復制必究 聯系QQ 備案號:
本站除標明“本站原創”外所有信息均轉載自互聯網 版權歸原作者所有。
郵箱:toplearningteam#gmail.com (請將#換成@)