2016-2022 All Rights Reserved.平安財經網.復制必究 聯系QQ 備案號:
本站除標明“本站原創”外所有信息均轉載自互聯網 版權歸原作者所有。
郵箱:toplearningteam#gmail.com (請將#換成@)
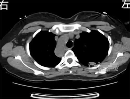
近期,來自陜西寶雞的一名女子在就醫時,發現自己是十分罕見的“鏡面人”,因為五臟六腑全部都長反了。醫生在檢查這位女子身體情況時,發現膽囊、脾臟、肝臟、內臟等,器官與常人完全相反,在醫學領域中被稱為“鏡面人”。“鏡面人”是一種特別罕見的生理現象,發現概率是百萬分之1,盡管這種病例在全球范圍都是比較罕見的,但是“鏡面人”生理功能與正常人來講沒有很大的區別,在生活與工作中都不會有太大的影響。

這位女士在未來就醫時應該主動告訴醫生自己是“鏡面人”,能夠幫助醫生在檢查時充分考慮特殊情況,避免出現誤診或者誤判的情況。醫生也提醒患者,特別是年輕人,面對不常見的生理現象,要保持冷靜,不要過度的緊張和焦慮,發現自己有類似情況,及時就醫尋找醫生的幫助。

“鏡面人”并不是第1次出現在醫學文獻中,20世紀70年代就有學者報道過類似的病情,在這類病例中,患者不僅內部器官位置與常人相反,也有一系列的醫學特征,比如心臟大小和形態出現異常,當然這種病例發生幾率比較低,所以很少有人會遇到這樣的情況。對于這類情況的成因醫學領域沒有明確的結論,有學者分析,有可能是與胚胎發育中基因突變有關,也有一部分學者認為,這種病例有可能是一種遺傳疾病,但是不具備傳染性和遺傳性。

鏡面人雖然與常人內部器官位置相反,但不會對身體健康產生過大的影響,在檢查時也要給予更多的關注。就一時需要注意細節在生活中不需要特殊的管理和治療只要保持良好的生活習慣,定期檢查在醫學檢驗時提前告知自己的情況。
2016-2022 All Rights Reserved.平安財經網.復制必究 聯系QQ 備案號:
本站除標明“本站原創”外所有信息均轉載自互聯網 版權歸原作者所有。
郵箱:toplearningteam#gmail.com (請將#換成@)